-
Fig. Immunofluorescence identification of Cytokeratin 19 (CK19) (×200)
-
Fig. Morphology of Primary Rat Oral Mucosal Epithelial Cells (OMEC) (Optical microscope,×100)
-
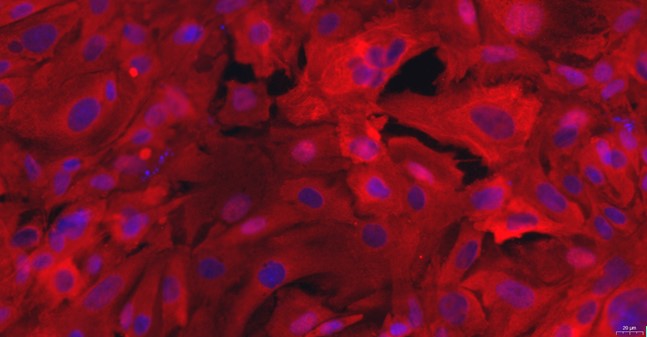
Fig. Immunofluorescence identification of Cytokeratin 19 (CK19) specific antibody (×400)
-
产品包装(模拟)
-
产品包装(模拟)
-
通过ISO 9001、ISO 13485质量体系认证
大鼠口腔黏膜上皮细胞( OMEC)原代细胞
Primary Rat Oral Mucosal Epithelial Cells ( OMEC)
- 编号CSI493Ra01
- 物种Rattus norvegicus (Rat,大鼠)
- 下载 英文说明书 中文说明书
- 规格 5X10^5
- 价格 ¥ 5400
基础信息
- 品系Sprague Dawley(SD) Rat, 1-2 Weeks
- 组织来源口腔黏膜
- 生长状态贴壁
- 细胞类型上皮细胞
- 疾病Normal
- 应用For research use only. It is not approved for human or animal use, or for applications in in vitro diganostic procedures.
生物安全
不含有 HIV-1、 HBV、HCV、支原体、细菌、酵母和真菌等。
培养条件
DMEM/F12+5% FBS+1% Epithelial Cell Growth Supplement+1% Penicillin-Streptomycin Solution. Temperature:37°C. Condition: 95% air, 5% carbon dioxide
产品包装
提供新鲜或者冻存的原代细胞。
使用方法
如是新鲜原代细胞,客户收到细胞后应立即将其放入CO2细胞培养箱内静置3-4个小时,再进行后续的实验操作;如是冻存细胞, 客户收到细胞后应立即将其放入液氮、-80℃冰箱或立即进行复苏。
资质许可



留言板
如果您有任何问题,请留言,我们将最快在24小时内给您回复。
立即留言