-
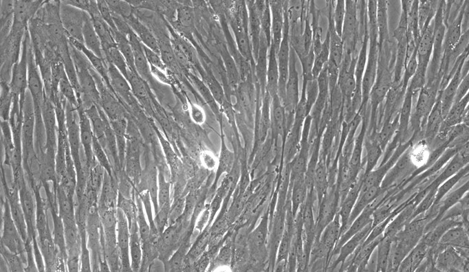
Fig. Morphology of Rat Thymic Fibroblasts (Optical microscope,×100)
-
Fig. Morphology of Rat Thymic Fibroblasts (Optical microscope,×200)
-
产品包装(模拟)
-
产品包装(模拟)
-
通过ISO 9001、ISO 13485质量体系认证
大鼠胸腺成纤维细胞(TF)原代细胞
Primary Rat Thymic Fibroblasts (TF)
- 编号CSI036Ra01
- 物种Rattus norvegicus (Rat,大鼠)
- 下载 英文说明书 中文说明书
- 规格 5X10^5
- 价格 ¥ 4680
基础信息
- 品系Sprague Dawley (SD) Rat, 8-9 Weeks
- 组织来源胸腺组织
- 生长状态贴壁
- 细胞类型成纤维细胞
- 疾病Normal
- 应用原代细胞
生物安全
不含有 HIV-1、 HBV、HCV、支原体、细菌、酵母和真菌等。
培养条件
DMEM+10%FBS+1% Fibroblast growth supplement+1%Penicillin-Streptomycin Solution Temperature: 37℃ Condition: 95% air, 5% carbon dioxide
产品包装
提供新鲜或者冻存的原代细胞。
使用方法
如是新鲜原代细胞,客户收到细胞后应立即将其放入CO2细胞培养箱内静置3-4个小时,再进行后续的实验操作;如是冻存细胞, 客户收到细胞后应立即将其放入液氮、-80℃冰箱或立即进行复苏。
资质许可



留言板
如果您有任何问题,请留言,我们将最快在24小时内给您回复。
立即留言