-
Fig. Immunofluorescence identification of Vimentin specific antibody (×400)
-
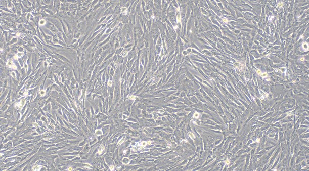
Fig. Morphology of Mouse Sertoli Cells (Optical microscope,×200)
-
Fig. Morphology of Mouse Sertoli Cells (Optical microscope,×100)
-
Fig.Immunofluorescence identification of Vimentin specific antibody(×200)
-
产品包装(模拟)
-
产品包装(模拟)
-
通过ISO 9001、ISO 13485质量体系认证
小鼠睾丸支持细胞(SEC)原代细胞
Primary Mouse Sertoli Cells (SEC)
- 编号CSI112Mu01
- 物种Mus musculus (Mouse,小鼠)
- 下载 英文说明书 中文说明书
- 规格 5X10^5
- 价格 ¥ 5880
基础信息
- 品系BALB/c Mouse,8-9 Weeks,male
- 组织来源睾丸
- 生长状态贴壁
- 细胞类型支持细胞
- 疾病Normal
- 应用原代细胞
生物安全
不含有 HIV-1、 HBV、HCV、支原体、细菌、酵母和真菌等。
培养条件
DMEM/F12+10%FBS+ Sertoli Cell Growth Supplement +1%Penicillin-Streptomycin Solution Temperature: 37℃ Condition: 95% air, 5% carbon dioxid
产品包装
提供新鲜或者冻存的原代细胞。
使用方法
如是新鲜原代细胞,客户收到细胞后应立即将其放入CO2细胞培养箱内静置3-4个小时,再进行后续的实验操作;如是冻存细胞, 客户收到细胞后应立即将其放入液氮、-80℃冰箱或立即进行复苏。
资质许可
留言板
如果您有任何问题,请留言,我们将最快在24小时内给您回复。
立即留言
